
에어스메디컬이 스프링캠프로부터 투자를 유치했다.
에어스메디컬은 서울대학교 전기정보공학부 바이오-메디컬 영상 과학 연구실에서 창업한 의료 인공지능 스타트업. 인공지능 기술을 통해 자기공명영상(MRI) 촬영 시간을 영상 품질 저하 없이 기존보다 4분의 1 이하로 단축하는 기술을 개발했다.
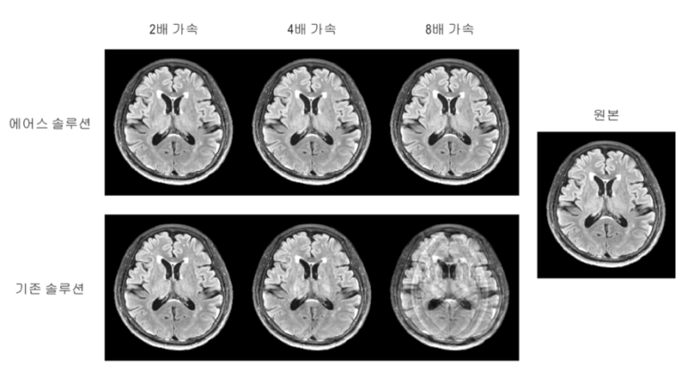
에어스메디컬 측은 기존 수학적 모델링 기반 영상 재구성 기법에 인공지능을 적용해 실시간과 고배속 영상 재구성을 했다고 밝히고 있다. 기존 솔루션은 촬영시간을 짧게 해 4∼8배 가속하면 영상에 심각한 왜곡이 생기지만 에어스메디컬 솔루션은 8배속 가속을 해도 왜곡 없이 원본 같은 품질로 영상을 재구성할 수 있다는 것.

회사 측은 MRI가 환자 진단에 필수 장비지만 촬영 시간이 긴 탓에 불편함이 크다는 점에 착안했다. 30∼45분에 이르는 시간 동안 폐쇄 공간에 있어야 하고 움직임이 있으면 재촬영을 해야 하기도 한다. 긴 촬영 시간 탓에 MRI 촬영을 하려면 2∼3주씩 대기를 해야 하는 건 물론. 에어스메디컬 측은 MRI 촬영 시간을 10분 내외로 줄여 환자 대기시간 역시 3∼5일로 줄일 수 있다고 설명하고 있다. 병원 입장에선 수익성을 더 확보할 수 있다.
고진규 에어스메디컬 대표는 “현재 기술로는 MRI 촬영 시간을 10분 내외로 줄일 수 있지만 앞으로 더 나아가 1분 촬영으로 질병 진단과 건강 검진을 마치는 기술을 개발할 것”이라고 밝혔다. 에어스메디컬 기술을 적용한 제품은 올해 말부터 서울대학교병원에서 시범 서비스를 한 뒤 2019년 캐나다 몬트리올에서 열리는 국제자기공명영상학회에서 본격 마케팅에 들어갈 예정이다.
You must be logged in to post a comment.