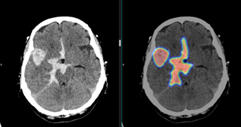
국내의료 인공지능 기업 중 최초로 비급여 보험 수가를 획득한 제이엘케이가 ‘뇌졸중 진단 및 예후 예측 방법 및 시스템’에 대한 유럽 특허 등록에 성공했다고 16일 밝혔다. 이를 통해 세계에서 두 번째로 큰 시장인 유럽 시장을 본격적으로 공략할 수 있게 됐다. 이번 유럽 특허 등록으로 한국은 물론 미국, 일본, 중국에 이어 유럽까지 원천 기술에 대한 특허권을 인정받게 되었으며, 전 세계 시장 진출을 위한 강력한 기술 장벽 기반도 마련되는 쾌거를 거두게 됐다. 이번 유럽 특허 등록이 결정된 기술은 인공지능 알고리즘을 활용하여 뇌졸중 원인과 중증도를 진단하고 예후 예측을 하는 원천 기술들을 포함하고 있다. 특히 이 기술은 현재국내에서는 최초로 비급여처방이 되고 있는 JBS-01K의 기반 기술 특허로 제이엘케이는이 기술을 토대로 매출 성장에 박차를 가하고 있다. 또한, 미국과 일본에서도 이미 특허 등록에 성공하여 이 기술을 활용한 제품들을 통해 현지 시장 진출에 박차를 가하고 있다. 제이엘케이는 지난 9일 ‘2028 JLK AI 비전선포식’에서 뇌졸중의 진단과 치료 전주기에 해당되는 제품군의 고도화된 성능을 소개하고, 국내 병원에서 직접 사용 중인 의료진들이 제이엘케이의 기술이 의료 현장에서 어떻게 사용되고 있는지 실제 증례를 통해 소개하였다. 더욱이 제이엘케이가 제시하는 미래 비전의 가능성과 뇌졸중 패러다임의 전환에 대한 향후 로드맵 및 목표를 발표했다. 국제적으로 우수한 국내 의료환경에서 다양한 영상을 통한 분석 성능 고도화와 각종 의료 정보 시스템과의 자동 연동을 통해 차별화된 사용성을 실현할 수 있었다. 또한 이러한 기술은 뇌졸중 환자의 진단에서 치료까지 전체 프로세스를 대상으로 하는 토탈 솔루션 패키지 제품군으로 미국은 물론이고 일본, 유럽 등 해외 주요 시장을 공략할 예정이다. 제이엘케이 김동민 대표는 “제이엘케이가 뇌졸중 글로벌 No.1 기업이 되기 위해서 지난10년에 걸쳐 뇌졸중 전주기에 대응하기 위한 패키지 제품군을 개발하여 완성 하였다”며 “이러한 전주기 분석이 가능한 제품군을 해외에 납품함으로서 시장 경쟁에서 우위를 지키는 것은 물론, 우리 제품을 써본 의료진은 극대화된 효율성과 치료 효과성을 경험하게되어 충성 고객으로서 시장에 대한 구속력을 높일 수 있는 전략을 구사할 예정이다”고 밝혔다. 뇌졸중 환자를 치료하기 위한 진단 및 치료 과정은 CT, MRI 기반의 다양한 영상과 임상 정보들을 종합하여 판단하기 때문에 고려해야할 범위가 넓고 다양하다. 특히 이러한 다양한 알고리즘을 포함한 원천 기술의 뇌졸중 특허는 타 경쟁사와도 비교될 수 없는 고난도의 기술적 가치로 글로벌 시장 진출의 강력한 기반이 될 것으로 기대되고 있다. 관련 기사 더 보기 https://www.venturesquare.net/906641