
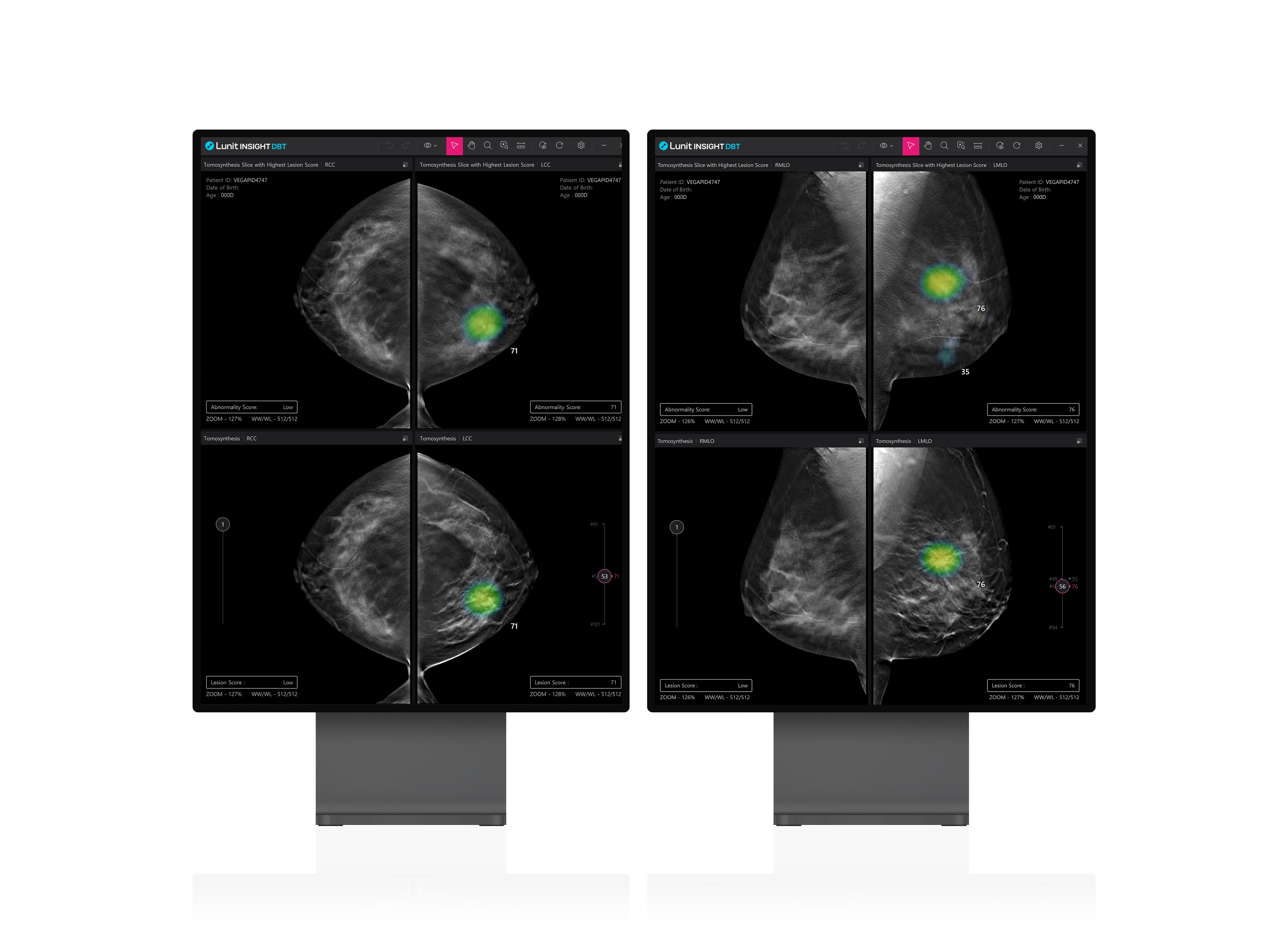
의료 인공지능(AI) 기업 루닛이 미국 테네시주 녹스빌에 위치한 유방 전문 의료기관 ‘모자이크 브레스트 이미징(Mosaic Breast Imaging, 이하 MBI)’과 유방암 검진 AI 솔루션 루닛 인사이트 DBT 및 루닛 인사이트 MMG 등 2개 제품에 대한 공급 계약을 체결했다고 29일 밝혔다.
MBI는 환자 중심의 진단 환경 조성과 광범위한 영상진단 서비스로 잘 알려져 있으며, 구글 평점 5.0 기준 만점(2024년 1월 29일 기준)에 달하는 등 실제 방문한 환자들의 만족도가 매우 높은 것이 특징이다.
루닛은 이번 계약을 통해 MBI에 향후 1년간 루닛 인사이트 DBT 및 루닛 인사이트 MMG를 공급하며, MBI는 이를 활용해 환자들에게 보다 정확한 유방 질환 진단을 제공하는 것은 물론 의료진의 진단 효율성을 높일 계획이다.
서범석 루닛 대표는 “의료기술 및 의료장비의 높은 전문성을 바탕으로 3차원 유방암 검진 환경이 잘 발달한 미국의 유방 이미징 센터가 FDA 승인을 갓 마친 루닛 제품을 선택한 것은 매우 고무적”이라며 “이번 공급 계약은 루닛이 루닛 인사이트 DBT를 통해 미국 시장에 진출하는 첫 단추로서, 올해 본격적으로 미국 사업 확대와 영업력 강화에 힘을 쏟을 예정”이라고 말했다.
- 관련 기사 더보기
You must be logged in to post a comment.